Odontologinės paslaugos Jurbarke
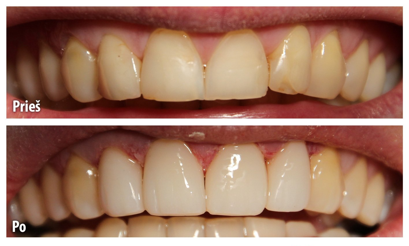
Estetinis plombavimas
Estetinis plombavimas - mūsų klinikos prioritetas, nes šiais laikais viena iš svarbiausių dantų funkcijų - tai šypsenos grožis. Su šiuolaikinėmis aukštos kokybės nanokompozitinėmis plombinėmis medžiagomis įmanoma gana tiksliai atkurti danties formą, spalvą, skaidrumą ir funkciją. Norėdami gauti kuo geresnius rezultatus, naudojame ne tik labai geros kokybės kompozitus, bet ir puikius instrumentus, poliravimo sistemą ir pagalbines priemones. Savo plombavimo techniką nuolat tobuliname kursuose. Dirbti maksimaliai estetiškai stengiamės ne vien priekinių, bet ir krūminių dantų srityje. Siekti kokybiškų rezultatų padeda pastovus darbas su odontologinėmis kameromis. Kiekvienos restauracijos metu yra padaromos ir kompiuterinėje paciento kortelėje išsaugomos trys nuotraukos - pradinės situacijos, po preparavimo ir galutinės plombinės restauracijos.
Kadangi mūsų naudojamos plombinės medžiagos pasižymi ypatingai tvirtu sukibimu su danties audiniais, o nusidėvėjimas beveik identiškas danties emaliui - daugeliu atvejų, netgi esant labai dideliems danties defektams, dantį atstatome plombuodami, o ne protezuodami. Šis metodas yra daug mažiau invazyvus, estetiškesnis ir pigesnis už protezavimą metalo ar bemetale keramika. Esant būtinybei, plombines restauracijas sutvirtiname stiklo pluošto kaiščių pagalba.
Esant ypač dideliems defektams priekinių dantų srityje arba dantų kreivumui, kurio pacientas nenori koreguoti ortodontiškai, daromas veneringas - viso danties vestibiulinio (priekinio) paviršiaus dengimas plomba. Vis dėlto, prieš atliekant tokią procedūrą riekia atidžiai įvertinti jos poreikį. Nes idealiausia ir nepakartojama medžiaga dantukui - tai nuosavas, gamtos padovanotas emalis.
Pageidaujant baltesnių dantų - balinimo procedūra turi būti atliekama prieš plombavimą, nes balinimo metu bala tik danties emalis. Todėl praėjus 2 savaitėms po balinimo jau galima plombuoti, atkuriant dantis pagal naują spalvą.
Plombinių restauracijų ilgaamžiškumui nemažą įtaką turi ir paties paciento gera burnos ertmės higiena, bei reguliarūs vizitai profesionaliai burnos higienai. Pageidautina, kad pacientas bent kartą per metus atvyktų pas odontologą kontrolei bei restauracijų poliravimui.
Dantų protezavimas
Dantų protezavimas yra skirtas atkurti trūkstamus dantis ir jų eiles, prarastas sąkandžio ir kramtymo funkcijas. Šiuolaikiniai dantų protezai yra tvirti, bei labai estetiški. Pasitelkus naujausias technologijas, galėsite džiaugtis „naujai išdygusiais" dantukais. Mūsų klinikoje pavienių dantų protezavimas atliekamas tik tada, kai danties defekto neįmanoma suformuoti plombinių medžiagų pagalba. Netekus vieno ar keletos dantų, po išsamios rentgenologinės ir kompiuterinės diagnostikos yra galimybė atstatyti prarastą kramtymo funkciją neišimamų ar išimamų dantų protezų pagalba.
Pageidaujantiems ypatingos estetikos, galime pasiūlyti ne tik metalo keramikos, bet ir cirkonio neišimamus protezus. Taip pat klinikoje yra atliekamas ir protezavimas ant dantų implantų (nuoroda į Implantavimą)
Endodontija
Endodontija - tai šaknies kanalų gydymas, esant negrįžtamiems pulpos pakitimams, sąlygotiems pulpito arba periodontito.
Danties kietuosius audinius sudaro danties emalis, dentinas ir cemetas. Danties minkštasis audinys esantis danties centre vadinamas pulpa. Tai kraujagyslių, limfagyslių ir nervinių skaidulų darinys, o apie danties šaknį esantis audinys - periodontas. Endodontinis gydymas, skirtas pastarųjų audinių ligų gydymui, dažniausiai atliekamas šiais atvejais:
Pulpitas
• Pulpitas: pulpos audinio uždegimas, sąlygotas įvairių dirgiklių vadinamas pulpos uždegimu arba pulpitu. Pulpitas dažnai yra lydimas stiprių priepuolinių skausmų, nors kartais danties "nervas" gali numirti ir be ryškesnių simtomų. Tada iš vainikinės pulpos dalies ir šaknies kanalų turi būti mechaniškai ir chemiškai pašalinti negyvi audiniai ir kanalas hermetiškai užplombuotas.
Periodontitas
• Periodontitas:
pasireiškia tuomet, kaip uždegimas iš pažeistos pulpos išplinta į dantį supančius audinius - periodontą. Esant ūmiems atvejams gali atsirasti netgi aplinkinių minkštųjų audinių patinimas. Kartais periodonte esantys pakitimai nesukelia jokių simptomų, o išaiškinami tik padarius rentgeno nuotrauką.
Antrinis endodontinis gydymas
• Antrinis endodontinis gydymas
(kanalų pergydymas) - atliekamas, jeigu dėl tam tikrų priežasčių jau užplombuotuose kanaluose atsirado antrinė infekcija, kuri dažnai pasireiškia, kaip periodonto uždegimas (periodontitas).
Gydymas susideda iš:
• Išsamios paciento diagnostiskos;
• Chemo-mechaninio kanalų valymo (dažnai tarp gydymo seansų danties šaknies/ų kanalas/ai yra užpildomi vaistais);
• Kanalų užplombavimo;
• Danties vainiko defekto atstatymas hermetiška restauracija (be hermetiškumo burnoje esantys mikroorganizmai gali sukelti antrinę endodontinę infekciją).
Kartais endodontinis gydymas gali būti gerokai apsunkintas dėl kanalų užkalkėjimo, dentiklų (pulpos akmenų) susidarymo, sudėtingesnio papildomų kanalų įeigų lokalizavimo, kanalų pergydymo metu sunkiai pašalinamos senos plombinės medžiagos ar svetimkūnių. Tokiais atvejais gydytojo darbą palengvina ultragarsiniai instrumentai ir mikroskopas užtikrinantis gerą darbo lauko padidinimą bei apšviestumą.
Endodontinis kanalų gydymas yra sudėtinga procedūra su kartais sunkiai prognozuojama gydymo baigtimi, stipriai įtakojama ir žmogaus organizmo atsakomosios reakcijos. Atliekant sudėtingesnes procedūras net moderniausios technologijos neapsaugo nuo nesėkmingo gydymo rizikos. Todėl yra labai svarbus paciento ir gydytojo bendradarbiavimas bei sugydytų dantų stebėjimas.
Vaikų dantų gydymas
Labiausiai mūsų klinikoje yra laukiami mažieji pacientai. Vaikai - mūsų ateitis ir visi dėl tos ateities turime stengtis visi savo profesinėse srityse. Mūsų pastangos yra mažylių taisyklingos burnos higienos įgūdžių formavimas, baimės odontologui mažinimas ir, žinoma, pagalba atsitikus nelaimei - kai dantuką jau pradėjo graužti kirminukas.
Sėkmingas vaikų dantų gydymas priklauso ne vien nuo gydytojo odontologo profesionalumo, bet ir nuo gero psichologinio pasiruošimo darbui su vaikais. Taip pat ne mažesnę, o gal net ir didesnę įtaką turi tėvų elgesys kabinete, bei pokalbiai su vaikais apie dantų gydymą namuose. Todėl dažnai norint pasiekti gerų gydymo rezultatų turime glaudžiai bendradarbiauti su vaikučio šeima.
Labai svarbu, kad pirmasis vizitas pas odontologą būtų profilaktinis, o ne sąlygotas danties skausmo. Tada abu su vaikučiu turime laiko ir noro susipažinti, apžiūrėti aparatūrą ir instrumentus, pažiūrėti pamokantį filmuką ir pašnekėti apie tai, ką daryti, kad dantukai negestų. Pacientukų pirmajam vizitui laukiame nuo 3 metukų. Liūdna, bet kartais dantukai sugenda anksčiau ir mums tenka gydyti dar mažesnius vaikučius.
Kariesas
Kariesas (ėduonis) yra liga, sukeliama tam tikrų burnoje esančių bakterijų. Svarbu suprasti, kad labai daug kariozinių pažeidimų galime išvengti labai stropiai rūpindamiesi vaikučių dantukais. Nuo pat pirmųjų dantukų atsiradimo juos reikia valyti drėgnu švariu audiniu, o atsiradus keturiems dantukams jau reikia pradėti naudoti minkštą dantų šepetėlį ir labai nedidelį pastos kiekį. Visi žino, kad dantis reikia valyti bent 2 kartus per dieną, bet ypatingai svarbus yra vakarinis dantų valymas, kadangi naktį, pasikeitus seilių klampumui, kariesologiniai pažeidimai dantyse vystosi gerokai sparčiau. Iki 7-8 metų, kol pas vaikutį atsiranda gera rankų koordinacija, vakariniu dantų valymu turi pasirūpinti tėveliai.
Pieninių dantų gydymas
Mūsų klinikoje pieninių dantų gydymui naudojamos stiklo jonomerinės plombos, turinčios gydomųjų savybių. Esant nedideliems ar vidutiniams karioziniams pažeidimams, naudojamos spalvotos kompomerinis plombos. Vaikučiams labai patinka paspalvinti savo dantukus jiems patinkančiomis spalvytėmis.
Profesionali burnos higiena
Vienas iš svarbiausių dalykų, galinčių padėti mums džiaugtis sveika ir gražia šypsena ilgą yra tinkama dantų priežiūra. Kokybiškas kasdienis dantų valymas padės dantis apsaugoti nuo dantų karieso, periodonto ligų, sumažins nemalonų burnos ertmės kvapą. Deja, dažnai, netgi gerai prižiūrint burnos ertmę ant dantų po truputį kaupiasi apnašas (akmenys). Apnašo kaupimosi greitį lemia ne vien tik dantų priežiūros kokybė, bet ir genetika. Nenuvalytas apnašas gali sukelti kariesą, bei įvairaus laipsnio burnos gleivinės uždegimus, vėlesnėse stadijose gali atsirasti žandikaulio patirpimas, ko pasekoje netenkami dantys. Profesionalios burnos ertmės higienos tikslas - pašalinti minkštąjį ir kietąjį dantų apnašą (akmenis), nupoliruoti ir atnaujinti plombas, sekti burnos gleivinės būklę. Profesionalią burnos higieną mūsų klinikoje atlieka specialiai apmokyta (licencijuota) specialistė - burnos higienistė.
Burnos higienos procedūros
Mūsų klinikoje į profesionalios burnos higienos procedūrą įeina:
• Viršdanteninių ir podanteninių akmenų valymas ultragarsiniu skaleriu ir rankiniais instrumentais;
• Pigmentinių apnašų nuvalymas specialiomis poliravimo priemonėmis;
• Visų dantų poliravimas abrazyvia pasta;
• Estetinio plombavimo plombų poliravimas ir atnaujinimas;
• Profesionalus dantų protezų ir implantų nuvalymas;
• Fluoro aplikacijos;
• Burnos priežiūros pamoka.
Papildomos burnos higienos paslaugos
Esant pageidavimui burnos higienistė taip pat atlieka:
• Ofisinį dantų balinimą;
• Dantų balinimą kapomis (gaminamos individualios kapos dantų balinimui namuose);
• Klijuoja dantų papuošalus.
Prieš bet kokią dantų gydymo ar balinimo procedūrą patartina atlikti profesionalią burnos higieną. Profilaktinis profesionalios higienos dažnumas priklauso nuo individualių burnos ertmės savybių ir kasdienio valymo kokybės. Atsižvelgiant į tai, procedūrą patartina atlikti kas 3-12 mėn.
Dantų diagnostika
Išsami paciento diagnostika ir tinkamas gydymo plano sudarymas yra vienas svarbiausių veiksnių, lemiančių sėkmingą dantų gydymą, todėl mūsų klinikoje tam skiriamas ypatingas dėmesys. Pacientui ištirti naudojame pažangiausias odontologinės diagnostikos priemones.
Odontologinės kameros
Odontologinių kamerų panaudojimas mūsų klinikoje yra vienas pažangiausių Lietuvoje. Kiekvienos dantų restauracijos metu į kompiuterinę paciento kortelę yra padaromos 3 nuotraukos:
• prieš restauraciją
• po preparavimo
• po danties atstatymo
Plačiau apie tai skaitykite gyd. Aušrinės Meškauskienės moksliniame straipsnyje
„Odontologinių kamerų panaudojimas šiuolaikinėje odontologijoje“.
Panoraminis ortopantomografas
Išsamiai dantų apžiūrai yra svarbus ne tik išorinis burnos vaizdas, bet ir dantų šaknų, periodonto bei žandikaulių apžiūra, kurią galima atlikti tik padarius panoraminę burnos nuotrauką. Joje matome paslėptus dantų kariesus, apkalinius židinius (pūlinukus) periodnoto srityje, bei nekokybiškus kanalų užpildymus po endodontinio gydymo. Ši nuotrauka taip pat labai svarbi periodonto ligų (parodontozės) diagnozavimui, taip pat ją būtina padaryti prieš dantų protezavimo, bei implantavimo procedūras. Panoraminę rentgeno nuotrauką atspausdiname ant specialaus foto popieriaus ir įrašome i kompiuterinę laikmeną.
Dentalinis rentgeno aparatas
Atliekant endodontinį gydymą, išsamesniam ištyrimui yra daromos dentalinės (atskiro danties) rentgeno nuotraukos.
Mūsų klinikoje naudojami rentgeno aparatai pasižymi ypatingai mažu kenksmingumu. Todėl šias nuotraukas galima atlikti vaikams ir, būtinybei esant, besilaukiančioms moterims.
Mikroskopas
Mikroskopas dažniausiai yra naudojamas endodontijoje. Jo pagalba iki 20 kartų yra padidinamas operacinis danties vaizdas. Tai yra ypač reikalinga dantų kanalų pergydyme, kalcifikuotų kanalų gydyme arba išiminėjant svetimkūnius iš dantų kanalų.
Apeks lokatorius
Tai modernus elektroninis danties šaknies kanalo ilgio ieškiklis. Jis tiksliai nustato danties šaknies kanalo ilgį ir viršūnės padėtį. Šio aparato panaudojimas sutaupo gydymo laiką ir pagerina gydymo kokybę.
Implantacija
Implantų privalumai
Dantų implantai yra vienas didžiausių šiuolaikinės odontologijos pasiekimų. Tai yra titaniniai, biotolerantiški mūsų organizmui varžtai (dirbtinės šaknys), kurie yra sukami į viršutinį ar apatinį žandikaulį. Kitaip tariant, tai natūrali danties šaknies kopija, įsriegiama į kaulą. Dantų implantai gali atstatyti net visiškai dantų neturintį žandikaulį. Operacija yra atliekama vietinėje nejautroje ir užtrunka iki valandos. Pooperaciniu laikotarpiu diskomfortas minimalus (priklauso nuo procedūros sudėtingumo), keletą dienų gali būti jautrumas ir patinimas. Implantacijos dėka netekus vieno ar kelių dantų, nereikia šlifuoti greta defekto esančių dantų, taip yra išsaugomi ir ypatingai tausojami danties vainikų kietieji audiniai. Implantacija ypač aktuali netekus ištisų dantų eilių. Tuomet ši procedūra padeda išvengti išimamų dantų protezų, arba ženkliai pagerina jų fiksaciją. Taip pat implantai stabdo kaulinio audinio rezorbciją (tirpimą), kuri atsiranda ištraukus dantį. Todėl labai svarbu nedelsti sriegti implantą, nes praėjus keletui metų po ištraukimo, rezorbavusis žandikauliui ištraukto danties srityje, gali prireikti papildomos dirbtinio kaulo priauginimo (augmentacijos) procedūros.
Implantacijos eiga
1. Konsultacija, apžiūra, diagnostika, gydymo plano sudarymas.
2. Vietinėje nejautroje atkėlus dantenas į kaulą įsriegiamas implantas.
3. Po 1-2 savaičių pašalinami siūlai.
4. Gijimo laikotarpis- nuo 3 iki 6 mėn.
5. Praėjus gijimo laikotarpiui vietinėje nejautroje atidengiamas implantas ir prisukama dantenų formavimo galvutė.
6. Sugijus dantenoms, dantenų formavimo galvutė pakeičiama protezavimo atrama.
7. Protezuojama.



